Hay dos tipos de pruebas de pruebas de sangre. Una prueba de sangre cuantitativa mide la cantidad exacta de GCH en la sangre, y una prueba de sangre cualitativa de GCH le da un simple sí o no respuesta a si usted está embarazada o no. Puede detectar un embarazo más temprano que una prueba de orina a casi 7-12 días de la concepción posible.. La endometriosis es una afección que causa dolor y problemas de fertilidad en algunas mujeres. Para diagnosticarla, se puede realizar una ecografía, una resonancia magnética o una laparoscopia. El tratamiento depende de los síntomas y los objetivos de cada mujer. Puede incluir medicamentos, cirugía o terapias alternativas. En Mayo Clinic, encontrarás un equipo de especialistas que te.

Prueba de embarazo positiva. ¿Qué sigue? > Bebesaurios

¿Qué es la Endometriosis? Clínica Mayo
Embarazo Ectópico tubárico. Tratamiento Quirúrgico. Pruebas Complementarias y Actitud

Prueba De Embarazo Positiva 141.666 en Mercado Libre

Endometrio engrosado/ Prueba de embarazo positiva y no hay nada en la ecografía ( no hay bebé

Prueba Meditest Positiva vlr.eng.br

Prueba De Embarazo

Cuando hacer la prueba de embarazo Tipos, Fechas y precio

Prueba de embarazo positiva foto, cómo leer y qué hacer Tua Saúde

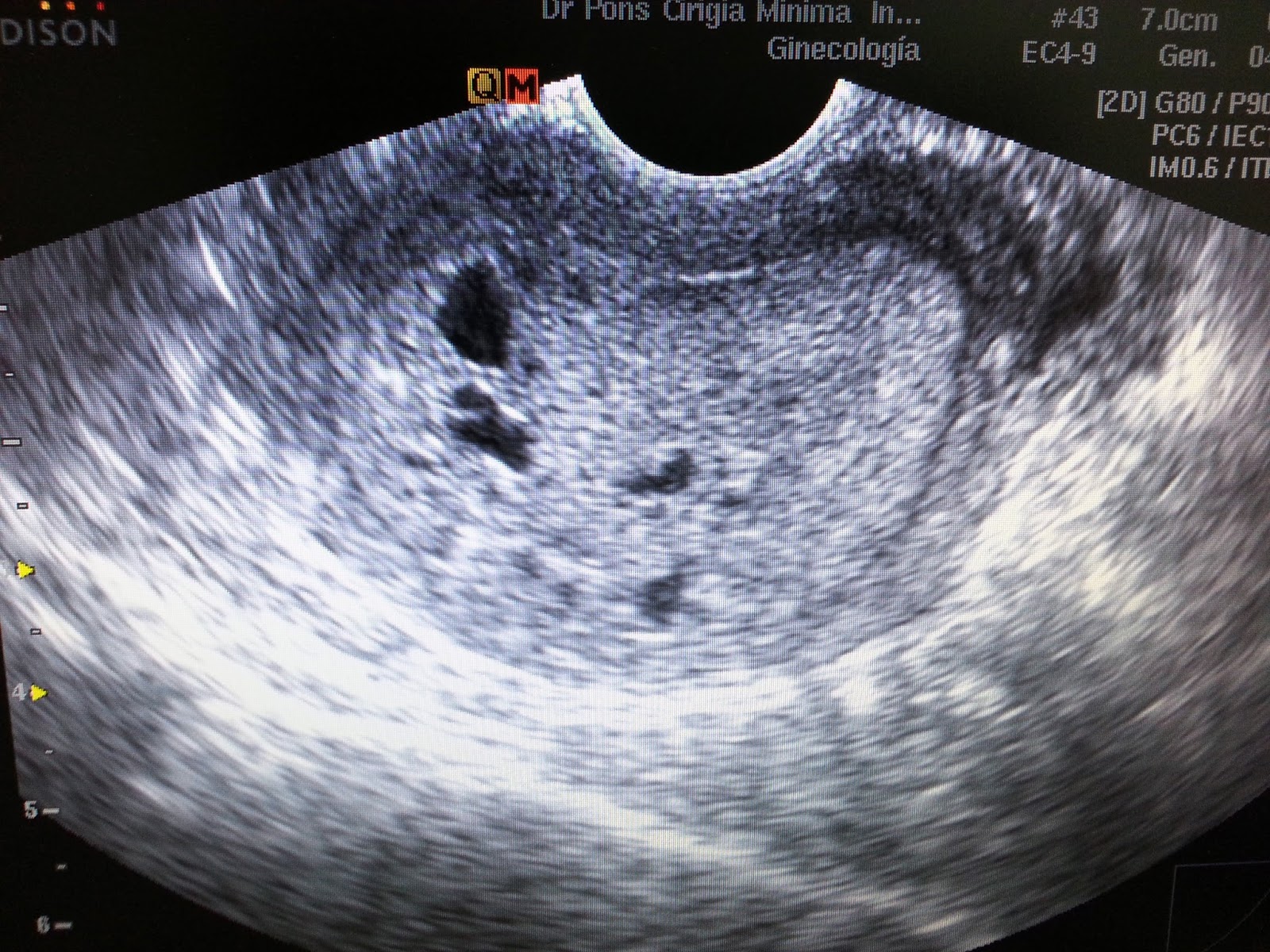
Cirugia Minima Invasiva Ginecologica Engrosamiento del endometrio. Que hago?

El Test de embarazo todo lo que necesitas saber Padres

Qué tipo de test de embarazo es el más fiable Estar Mejor

2nd Positive 😇 Test de embarazo positivo, Prueba de embarazo positiva, Bromas de embarazo

¿CUANDO LA PRUEBA DE EMBARAZO ESTA POSITIVA CUANTAS LINEAS SALEN EN EL TEST DE EMBARAZO?? YouTube

Estudio radiológico del endometrio. Lola Fernández de la Fuente Bursón

Test de embarazo positivo dos rayas, aunque una sea tenue

Hiperplasia Endometrial Dra, Lucy Abdala

Prueba De Embarazo Casera Que Muestra Un Resultado Positivo Imagen de archivo Imagen de salud

Prueba de embarazo cuándo y cómo realizarla Tua Saúde

Técnica ecográfica del útero
La vida con endometriosis: "Es como si te arrancaran las entrañas y llegan a decirte que el dolor está en tu cabeza" Las mujeres cuentan el desamparo, la soledad y el dolor diario que sufren.. En algunas personas, la endometriosis se descubre a través de estudios para tratar la infertilidad. Otros síntomas. Puede que tengas fatiga, diarrea, estreñimiento, hinchazón o náuseas. Estos síntomas son más frecuentes antes o durante los períodos menstruales.